Biologie
| EN
Mikroskopie - original und digital

Moderne Wissenschaft und Medizin sind ohne die Mikroskopie undenkbar. Sie ist eine zentrale Kompetenz des Erkenntnisgewinns. Trotzdem wird in der Schule selten mikroskopiert, insbesondere in höheren Klassenstufen. Die Möglichkeiten zur Mikroskopie sind vielfältig und reizvoll, nicht nur im Kontext der Humanbiologie. Sie erfolgen dann mit dem nötigen „Flow“, wenn tatsächlich Problemstellungen gelöst werden können. Übungen an histologischen Bildern regen zu echter Mikroskopie an.

Die Forschungen nutzten sowohl Eyetracking, als auch Messungen zu Motivation und Fachwissen im Vergleich des Einsatzes von interaktiven Whiteboards und realer Mikroskopie zu humanbiologischen Strukturen. Es konnte gezeigt werden, das problemorientiertes Mikroskopieren zu klaren Leitfragen sowohl mit echten Mikroskopen, als auch über Histologie-Bilder auf interaktiven Whiteboards lernförderlich und motivierend ist. Die Erkenntnisse werden auf weitere Lehrbereiche übertragen und zur Steigerung der Qualität der Lehre angewandt.

Materialien findet man über folgende Publikationen:

  • Jäkel, L. (2012). Working with the microscope as a problem solving process. In C. Brugièr, A. Tiberghien & P. Clément (Eds.), E-Book Proceedings of the ESERA 2011 Conference: Science learning and Citizenship. Part: Pre-service science teacher education, co-ed. D. Psillos & R.M. Sperando, Lyon, France: ESERA.
  • Jäkel, L. (2021). Faszination der Vielfalt des Lebendigen. Didaktik des Draußen-Lernens. Springer Spektrum.

Die empfindlichen Haarsinneszellen (oder Hörsinneszellen) des Ohres sind gut verwahrt. Sie befinden sich in der Schnecke im Felsenbein des Schädels. Zu dieser knöchernen Umhüllung kommen zahlreiche Membranen. Die aufgewundene Schnecke ist von Membranen umhüllt, in mehrere Räume unterteilt und mit unterschiedlichen Flüssigkeiten gefüllt (Endolymphe, Perilymphe).

Die Präparation von Innenohren scheint sehr schwierig zu sein. Bestellungen histologischer Präparate humanen Ursprungs zu Bildungszwecken sind nahezu unmöglich. 

Aus den wenigen Originalen lassen sich doch Erkenntnisse ableiten. Sie sind authentischer als Schemata in Schulbüchern. Der Kerngedanke der Gesunderhaltung des wertvollen Gehörs, also der Hygiene des Ohres, ist der Erhalt der Haarsinneszellen des Innenohres.

Die Haarsinneszellen sind bei starker Vergrößerung (400-fach) der Schnecke Cochlea im (mittleren) Schneckengang zu erkennen sind. Sie sitzen auf der Basilarmembran und werden von der gallertartigen Deckmembran/Tektorialmembran einseitig "überdacht". Es sind drei äußere Haarsinneszellen und eine innere Haarsinneszelle nebeneinander und zueinander geneigt zu erkennen. Die Präparate sind gefärbt.

Im Innenohr findet das Hören statt – hier werden Schwingungen in elektrische Signale übersetzt. Die kostbare Schnecke ist in festen Knochen eingebettet – das Felsenbein. Innen jedoch kleiden zarte Membranen drei mit Flüssigkeit gefüllte Kanäle aus: den Vorhofgang, den Schneckengang - hier sitzen die Hörsinneszellen (Corti-Organ) - und den Paukengang.

Im häutigen Schneckengang (Ductus cochlearis) befindet sich das Cortische Organ. Die einschichtige Reissnersche Membran grenzt die Endolymphe des Schneckenganges gegen die Perilymphe des Vorhofganges (Scala vestibuli) ab. Die Basilarmembran trägt die so wichtigen Hörsinneszelle (= Haarsinneszellen) und grenzt den Schneckengang gegen die Perilymphe des Paukenganges (Scala tympani) ab.

Die Deckmembran (Membrana tectoria) und die Cilien der Haarsinneszellen verschieben sich gegeneinander, wenn wir etwas hören. Mechanische Verformungen der Haarsinneszellen werden in elektrische Signale übersetzt, die Erregungen werden zum Hörnerv geleitet. Zwischen der inneren Reihe der Haarsinneszellen und den äußeren Reihen der Haarsinneszellen ist der Cortische Tunnel erkennbar, im Bild nahezu dreieckig. Außerdem unterscheidet man den inneren Spiralkanal (unterhalb der Deckmembran) und den äußeren Spiralkanal (neben den äußeren Haarsinneszellen).

Dies ist ein Längsschnitt durch das kugelige menschliche Auge. Der Schnitt geht genau durch den Blinden Fleck, nicht jedoch durch den Gelben Fleck. Auch die Linse ist nicht im Bild. Hornhaut, Ziliarmuskel, Retina, Aderhaut und Lederhaut sind perfekt getroffen.

Die Zellen der Augenlinse (Lens) sind dicht gepackt und nahezu frei von Zellorganellen, das ermöglicht die Lichtdurchlässigkeit. Das vordere Epithel ist einschichtig. Das Präparat ist 400fach vergrößert und gefärbt. Die Augenlinse besteht überwiegend aus Protein und Wasser sowie Mineralstoffionen (z. B. K+). Die lebenden Zellen der Linse werden durch das Kammerwasser gefüttert. Ein Linsenkapsel begrenzt die Linse gegen andere Strukturen des Auges.

Auch die Hornhaut (Cornea) ist sehr gut durchlässig für Licht. Gemeinsam mit dem Kammerwasser leistet sie einen wesentlichen Beitrag für die Lichtbrechung. Durch die Veränderung der Form der vorderen Hornhaut kann man Fehlsichtigkeiten korrigieren (Hornhautlasern). Das vordere Epithel ist mehrschichtig, das hintere Epithel ist einschichtig. Das Präparat ist 400fach vergrößert und gefärbt. Die Spalten zwischen den vielen Zellen sind durch die Präparation entstanden, eine lebende Hornhaut ist lückenlos.

Der Augenhintergrund im Bereich des Blinden Flecks trägt keine Lichtsinneszellen. Schließlich müssen an dieser Stelle die Axone der Ganglienzellen die Netzhaut durchdringen. Sie bündeln sich zum Sehnerv. Am Rand des Präparats sind Bereiche der Netzhaut erkennbar.

Diese Netzhaut ist 400fach vergrößert und gefärbt. Dadurch erscheinen die Zellkerne der Sinneszellen sowie der Ganglienzellen und Bipolarzellen rund und violett. Sehpurpur im Außenglied der Lichtsinneszellen (Stäbchen / Zapfen) erscheint hier ungefärbt. Die Pigmentschicht (Retinales Pigmentepithel) ist einschichtig und dunkel. Die Aderhaut weist z.T. rote Blutkörperchen auf.

Blutgefäße liegen nicht nur in der Aderhaut "hinter" der Retina (Netzhaut), sondern verlaufen vereinzelt auch auf der dem Licht zugewandten Seite der Netzhaut. Hier erkennt man ein Blutgefäß beim Blick auf die frisch präparierte Retina des Hausschweins in Aufsicht. Das Gefäß schlängelt sich durch die Schicht der Axone der Ganglienzellen der Netzhaut. Etwas dahinter liegen die Stäbchen und Zapfen. Das Präparat ist nicht gefärbt und etwa 100-fach vergrößert.

Im hier abgebildeten Bereich liegen u.a. Muskeln, welche für die Verformung von Linse bzw. Iris wichtig sind. Die Linsenkapsel ist an Zonulafasern aufgehängt. Hier wird auch Kammerwasser gebildet.

Der Beginn des Verdauungskanals ist der Mund. Hier wird die Qualität der Speisen beurteilt. Die Zunge mit ihren Geschmackssinneszellen ist dabei unverzichtbar. Die Geschmacksknospen verbergen sich an den Seiten der Papillen, das sind kleine Erhebungen auf der Zunge. Die Geschmackssinneszellen in den Geschmacksknospen an den Papillen können süß, sauer, bitter, salzig und umami unterscheiden. Das abgebildete Präparat ist gefärbt und etwa 200fach vergrößert.

Auch die Magenwand weist viele Falten auf (Oberflächenvergrößerung). Die Zellen der Magenschleimhaut bilden 1. Pepsinogen, 2. Schleim sowie 3. Salzsäure (sie aktiviert das Pepsinogen und desinfiziert den Mageninhalt). Die Zellen heißen 1. Hauptzellen, 2. Nebenzellen und 3. Belegzellen. Die Wand des Magens besitzt eine kräftige Muskulatur, die in der rechten Abbildung gut erkennbar ist. Bei der Magenwand handelt es sich um glatte Muskulatur, die nicht willentlich steuerbar ist. Die Präparate sind 400fach bzw. 100fach vergrößert und gefärbt.

Die Resorption der Nährstoffe ins Blut (und die Lymphe) erfolgt im Dünndarm. Das Darmepithel ist gefärbt und links 400fach vergrößert abgebildet, rechts 100fach. Man kann innerhalb des Dünndarms einen Zwölffingerdarm Duodenum, einen Leerdarm Jejunum und einen Krummdarm Ileum unterscheiden. 

Die größten Zellen im Gehirn sind die Purkinjezellen im Kleinhirn (Cerebellum). Sie besitzen einen eindrucksvollen Dendritenbaum sowie ein ableitendes Axon (das nicht bei jeder Zelle in der Schnittebene erkennbar ist). Die Zellen im Präparat des menschlichen Kleinhirns sind gefärbt und 400fach vergrößert.

Die Pyramidenzellen sind durch eine Versilberung gut erkennbar schwarz. Die Abbildung zeigt einen Querschnitt durch ein Mittelhirn in 400-facher Vergrößerung. Dies ist jedoch kein menschliches Mittelhirn (Mesencephalon), sondern eines vom Meerschweinchen. Pyramidenzellen findet man auch in anderen Hirnabschnitten, zum Beispiel im Großhirn.

Die Leistungen der Zellen in der Großhirnrinde sind beachtlich - man sieht sie ihnen im einfachen lichtmikroskopischen Bild aber nicht direkt an.

Die Hirnanhangsdrüse oder Hypophyse findet man unterhalb des Zwischenhirns. Man erkennt sofort die unterschiedliche Struktur von Vorder- und Hinterlappen. Beide haben einen unterschiedlichen Ursprung und verschiedene Funktionen. Die Neurohypophyse bildet u.a. Oxytocin und Adiuretin. Die Adenohypophyse stimuliert andere Hormondrüsen wie Nebennieren, Gonaden oder Schilddrüse.

Bei diesem flachen Schnitt durch eine menschliche Niere wurden Arterien rot und Venen blau eingefärbt. Sie ist etwa in Originalgröße abgebildet.

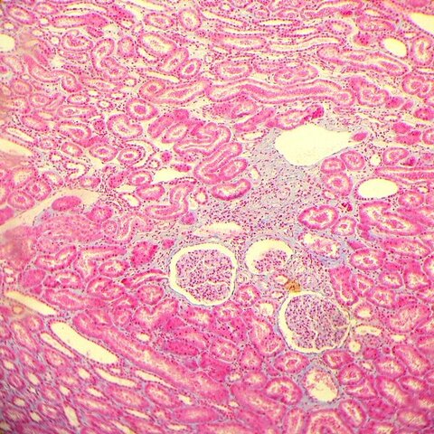
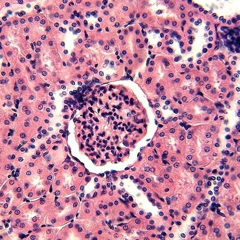
Dieser Ausschnitt der Nierenrinde ist etwa 100fach vergrößert und gefärbt. Man erkennt die "Startpunkte" jedes Nephrons als kleine Kreise. Dies sind die Bowmanschen Kapseln, in denen durch Ultrafiltration der Primärharn abgepresst und aufgefangen wird. Beim Passieren der nachfolgenden Nierenkanälchen (Tubuli) entsteht dann der Sekundärharn.

Über den Gefäßpol gelangt das Blut in das Gefäßknäul (Glomerulus) innerhalb der Bowman-Kapsel, dort wird Primärharn gebildet. Das Blut verlässt die Kapsel wieder über den Gefäßpol. Der Primärharn wird in der Kapsel aufgefangen und am Harnpol in die nachfolgenden Tubuli geleitet. Der Druck für diese Filtration des Blutes kommt vom Herzen. Das Präparat zeigt gefärbte Nierenrinde in 400facher Vergrößerung.

Röhrenknochen weisen einen kompakten Schaft (Diaphyse) und schwammartig erscheinende Enden auf (Epiphysen), deren knöcherne Bälkchen jedoch sehr stabil sind und Zug- und Druckbelastung tragen.

Die Substanz des Knochens besteht (neben Wasser) aus anorganischen  Kalziumphosphaten und Kalziumkarbonat sowie organischem Kollagen (Eiweiß). Bei einem Osteon "mauern" sich die Osteozyten zwischen Lamellen ein, die um einen Havers-Kanal geschichtet wachsen.

Die Knochenbildung nennt man Ossifikation. Sie kann ohne knorpelige Vorstufen erfolgen wie hier im Bild, oder durch Verknöcherung knorpeliger Vorstufen des Gewebes, bzw. von der Knochenhaut aus. Im Bild erkennt man Osteoblasten, die Knochen bildenden Zellen, als schwarzer Kranz von Zellen um das blau gefärbte Knochengewebe.

Die männlichen Keimdrüsen sind die Hoden. Im Schnitt des Hodens (Testis) erkennt man eine große Anzahl von Samenkanälchen. In den Samenkanälchen erfolgt die Spermatogenese, die Bildung der haploiden Spermien. Ein Samenkanälchen, hier 400-fach vergrößert abgebildet, wird von einer Basalmembran umgrenzt. Die Spermienbildung erfolgt von der Peripherie in Richtung Zentrum des Kanälchens. Reife Spermien besitzen eine Geißel.

Zwischen den Samenkanälchen findet man Bindegewebe, das Blutgefäße und Leydig-Zwischenzellen enthält. In diesen Zwischenzellen werden Hormone gebildet, vor allem Testosteron. 

Die weiblichen Keimdrüsen sind die Eierstöcke (Ovarien). Schon ohne Vergrößerung erkennt man verschiedene Reifungsstadien von Follikeln, den Eibläschen. Die Eizellen zählen zu den größten Zellen bei Tier und Mensch. In der Vergrößerung (400-fach) ist zu erkennen, dass die Eizelle im Follikel von Epithel umgeben ist.

Das Epithel eines Primärfollikels ist noch einschichtig, später beim Sekundärfollikel wird es mehrschichtig und bildet beim reifen Tertiärfollikel eine Höhle sowie den Eihügel (in dem die Eizelle sitzt). Die Eizelle umgibt sich mit einer Eihaut, der Zona pellucida, die aus Glykoproteinen besteht und bei dieser Färbung hellblau erscheint.

Die Follikelhülle (Theka) besteht aus mehreren Zellschichten (beim abgebildeten Tertiärfollikel gut erkennbar), darunter Bindegewebszellen. Die Follikel bilden Hormone. Die größte Menge der Oestrogene wird in den Thekazellen gebildet. Nach dem Eisprung entwickeln sich diese Zellen zu Gelbkörper-Zellen.